生死时速,命悬一线!多学科联手,打赢心脏“生命通道”保卫战
“胸跟刀绞一样,全身冒冷汗,那一瞬间,我真觉得不行了...”回想起发病时的情形,王师傅至今心有余悸。
就在不久前,一场惊心动魄的生命接力赛在我院急速上演。一名急性心梗合并心源性休克的危重患者,在命悬一线之际,被医院胸痛中心救治团队硬生生从死神手中抢了回来。
急速转运,车上生命已垂危亲
王师傅在家中突发剧烈胸痛,当地医院初步判断为急性心肌梗死,由于条件有限,需立即转运至上级医院。一场与时间的赛跑就此开始。
在120急救车呼啸赶往西安医学院附属宝鸡医院的途中,王师傅的病情急转直下,出现了心源性休克,意识逐渐模糊。生命体征如同风中残烛,危在旦夕。医院胸痛中心已提前接到通知,绿色通道全面开启,抢救团队严阵以待。
至暗时刻,多学科联手稳全局
抵达医院时,最凶险的情况发生了--心室颤动,这意味着心脏已无法有效泵血,生命瞬间悬于一线。
“抢救!立刻除颤!”胸痛中心救治团队火速集结,心肺复苏、电除颤...一次、两次...,气氛紧张得令人窒息。在呼吸机和升压药的强力支持下,团队果断决策,迅速将王师傅转运至介入导管室。


精准手术,20分钟打通“生命线”
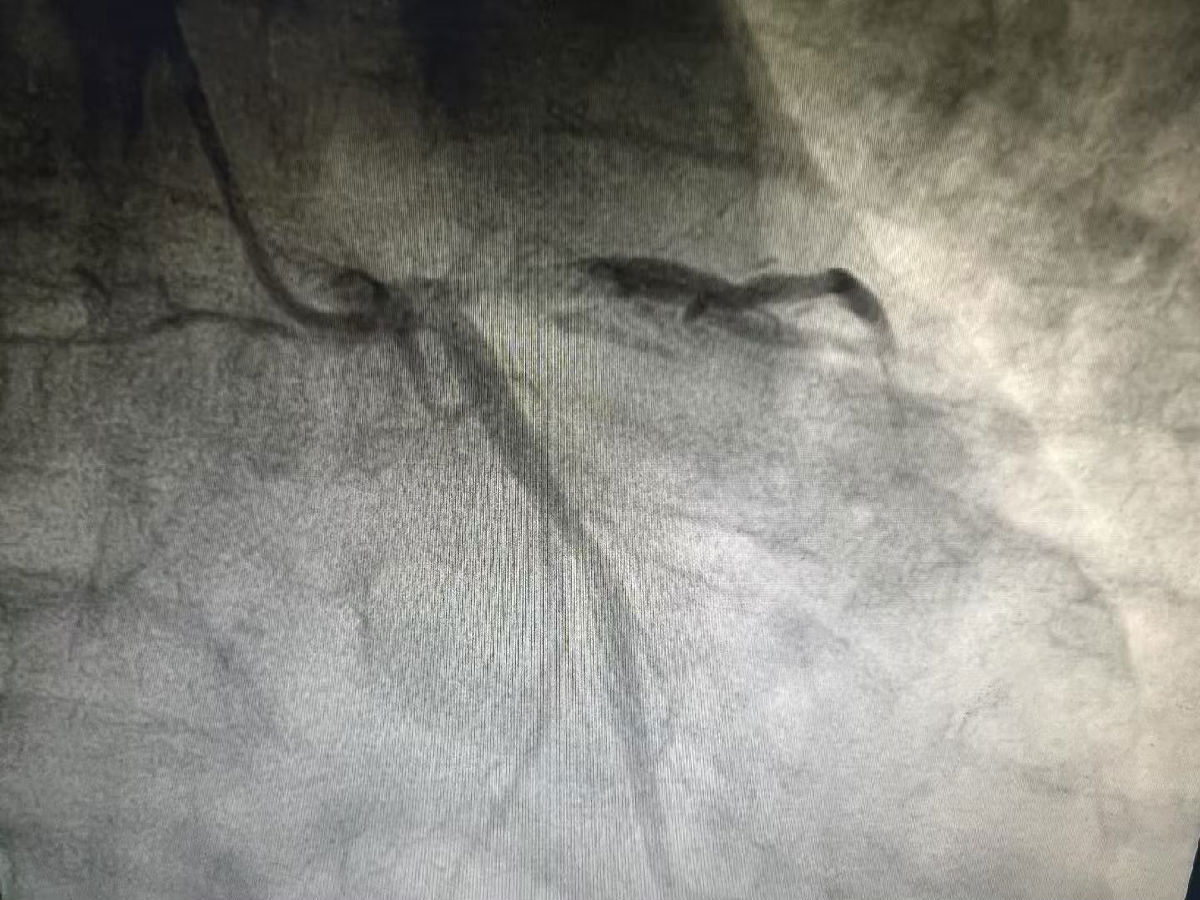
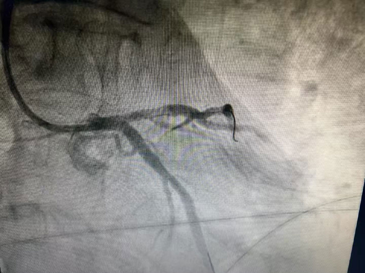
在主动脉球囊反搏(IABP)的保驾护航下,心脏介入团队立刻进行冠脉造影。结果显示,心脏最关键的主干血管--左主干末端已被大量血栓完全堵塞。这是最为危重的心梗情况,死亡率极高。面对“生命主干道”的堵塞,医护团队沉着应对,争分夺秒。采用血栓抽吸、球囊扩张、冠脉内溶栓等一系列操作,像精准的“管道工程师”一般,一点一点地清除血栓,疏通血管。
尽管仍有部分血栓影,但血流已恢复至理想的TIMI3级。为确保患者安全,经验丰富的团队当机立断,决定先稳定情况,择期再处理。这场关键手术,仅用了20余分钟!而从患者入院到导丝通过堵塞血管的D-to-W时间,更是仅用了53分钟,远低国际标准(≤90分钟)。


重获新生,一面锦旗诉真情
经过CCU(心脏重症监护室)一周的精心治疗和护理,王师傅康复出院。一个月后,他返院复查,结果令人欣喜,复查造影显示,血管内的血栓已完全消失。近日,王师傅特意带着锦旗来到门诊,激动地握住医生的手:“谢谢,太谢谢你们了!是你们把我从鬼门关拉了回来,给了我第二次生命!”
这份质朴的感谢,背后是一个家庭的重聚,是对我院胸痛中心、心血管内科及所有参与抢救医护人员最高的褒奖。它印证了医院在急危重症救治领域快速响应、多科协作、精准决策的综合实力。

专家提醒:冬季是心血管疾病的高发期,若出现持续性胸痛、胸闷、气促等症状,尤其是伴有出汗、肩背放射痛时,务必立即拨打120,争取黄金救治时间。



