超声精准破疑案 跨院协作护安康
---我院精准诊断腹主动脉夹层动脉瘤,携手华西医院完成高难度救治
近日,我院超声医学科传来暖心快讯:一例此前由科室精准确诊的腹主动脉夹层动脉瘤患者,经四川大学华西医院成功手术后,专程返院复查,并向超声医学科团队当面致谢。这场跨越千里的生命接力,始于超声诊断的“火眼金睛”,成于多学科、跨医院的高效协作,最终为患者拆除了血管内的“不定时炸弹”。
该患者因不明原因身体不适来我院就诊,超声医学科成为探查病情的“第一关”。腹主动脉夹层动脉瘤起病隐匿、进展凶险,诊断难度极高。科室团队凭借扎实的技术与丰富的经验,在细致检查中敏锐捕捉到可疑征象。为谨慎起见,医院迅速启动多学科会诊(MDT),超声医学科与医学影像科专家共同研判、交叉验证,最终明确诊断为腹主动脉夹层动脉瘤,为后续治疗争取了宝贵的“黄金时间”。


“此类疾病的救治,关键在于早发现、准判断。”超声医学科主任赵君智主任医师指出。超声以其无创、便捷、实时成像的优势,成为该病筛查与初诊的重要工具。此次精准诊断不仅为治疗提供了关键依据,也为后续向华西医院转诊搭建了扎实的沟通基础。鉴于病情复杂危重,我院在完成全面评估与稳定病情后,积极协助患者转至国内顶尖的四川大学华西医院进一步治疗。
华西医院心脏大血管外科团队针对患者病情特点,精心设计了“人字形支架植入术”,手术中,将支架从腹主动脉脐部水平植入,延伸至双侧髂总动脉,实现对病变血管的全程覆盖与有效支撑,成功封闭夹层破口,高难度完成手术,为患者解除生命威胁。

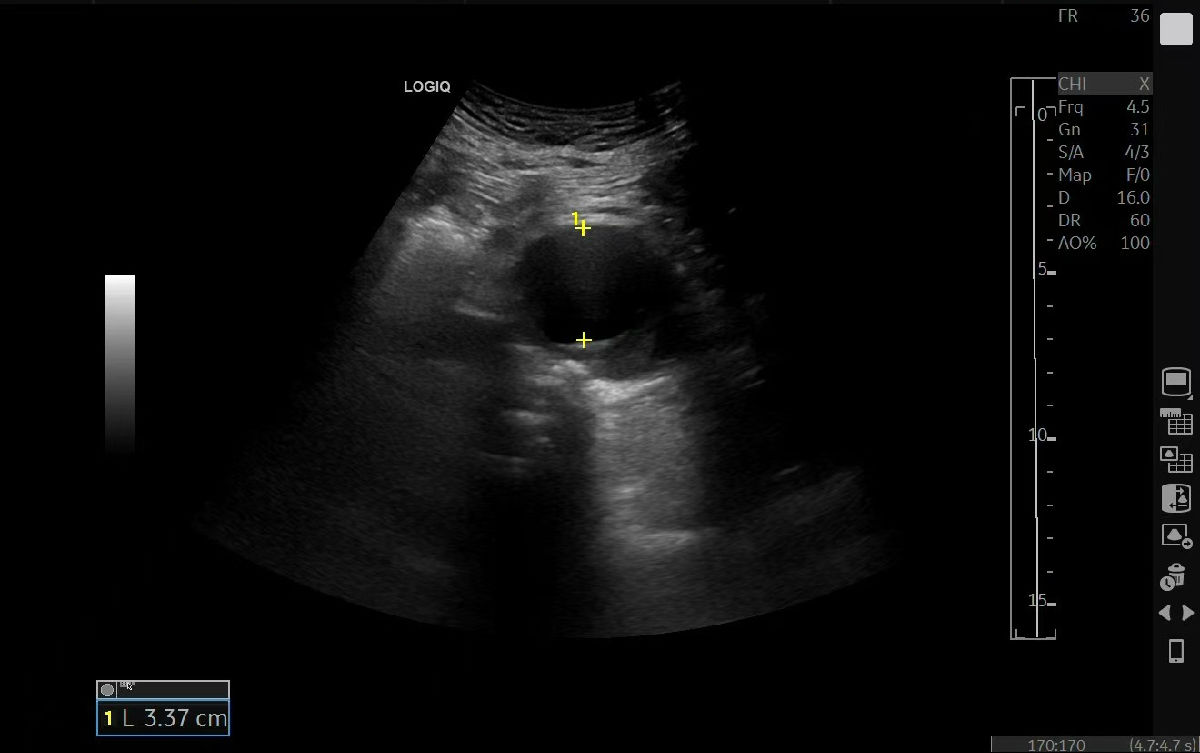
此次患者返回我院超声医学科复查,超声显示支架位置精准、血流通畅,恢复情况理想。“当时真的非常害怕,多亏咱超声医学科的医生精准细致的检查,华西医院的专家又妙手解难,我才重获健康!”患者紧紧握住科室医护人员的手,激动地表示感谢。


此例腹主动脉夹层动脉瘤患者的成功救治,充分体现了我院超声医学科在疑难疾病诊断方面的专业能力,也展现了跨区域、多学科协作在危重症救治中的重要作用。下一步,科室将持续深耕专业领域、精进诊疗技术、优化服务流程,充分发挥超声诊断在疾病筛查与诊疗中的“前哨”作用,同时进一步深化与国内优质医疗资源的协作联动,完善联合诊疗机制,以更精准的诊断、更高效的协作,为区域群众的生命健康筑起更坚实、更可靠的医疗保障。



